A frenectomy is a surgical procedure that involves the removal of the frenulum, which is a small fold of tissue that connects two structures in the body. This can be done in various areas of the body, including the mouth, tongue, and genital region.
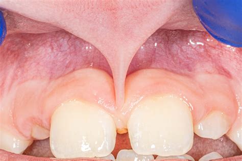
The Frenulum in the Mouth
In the mouth, the frenulum is a small piece of tissue that connects the tongue to the floor of the mouth, or the upper lip to the gum. A frenectomy may be necessary in cases where the frenulum is too short or too tight, causing discomfort or difficulty with speech or eating.
The Frenulum in the Tongue
A frenectomy may also be performed on the tongue, where the frenulum connects the tongue to the floor of the mouth. This can be necessary in cases where the frenulum is too short or tight, causing difficulty with speech or movement of the tongue.
The Frenulum in the Genital Region
In the genital region, the frenulum is a fold of tissue that connects the foreskin to the underside of the penis. A frenectomy in this area may be necessary if the frenulum is too tight or causes discomfort during sexual activity.
The Procedure
A frenectomy is typically performed under local anesthesia and involves making a small incision in the frenulum to release it. The procedure is usually quick and relatively painless, with minimal recovery time required.
Benefits
A frenectomy can provide numerous benefits, including improved speech, easier eating, and increased comfort during sexual activity. It can also help prevent oral health problems such as gum recession or tooth damage caused by a tight frenulum.
Risks
As with any surgical procedure, there are some risks associated with a frenectomy. These can include bleeding, infection, and damage to surrounding tissues.
Conclusion
In conclusion, a frenectomy is a simple surgical procedure that can provide numerous benefits for those with a tight or short frenulum. If you are experiencing discomfort or difficulty with speech, eating, or sexual activity, it may be worth considering a frenectomy to improve your quality of life. Be sure to consult with a qualified healthcare professional to determine if a frenectomy is right for you.
Dental Clinic in Greece/Athens Orthodontics/Orthodontc treatment in from oradentalcare.gr Introduction Having a healthy set of teeth is essential for good oral health and overall well-being. However, some people may face dental issues such as misaligned teeth, which can lead to bite problems. One such issue is crossbite teeth. What Is Crossbite Teeth? Crossbite teeth refer to a dental condition where the upper and lower teeth do not align correctly when you bite down. It can be either anterior (front) or posterior (back) crossbite. Anterior crossbite occurs when the upper front teeth are behind the lower front teeth, while posterior crossbite happens when the upper teeth are inside the lower teeth when you bite down. Causes of Crossbite Teeth Several factors can lead to crossbite teeth, including genetics, thumb sucking habits, mouth breathing, and prolonged pacifier use. In some instances, crossbite can also result from a narrow upper jaw or a misaligned lower jaw. Signs and Sympt...
SAB fait grandir l'activité d'édition d'une ESN CFNEWS from www.cfnews.net The Basics of SAB SAB stands for Service Account Business. It is a type of business model that involves providing services to clients through the use of a service account. This type of business model allows for greater flexibility and scalability, as it enables businesses to provide services to multiple clients simultaneously. The Benefits of SAB One of the key benefits of SAB is that it allows businesses to operate more efficiently. By using a service account, businesses can provide services to multiple clients at once, without needing to set up separate accounts for each client. This can save time, money, and resources, making it a popular choice for businesses of all sizes. Another benefit of SAB is that it is highly customizable. Businesses can tailor their services to meet the specific needs of each client, which can help to increase customer satisfaction and retention rates. This can ul...
Doctors Say Antidepressants May Be Worsening Depression David Avocado from www.davidwolfe.com Introduction Tramadol is a prescription medication used to treat moderate to severe pain. It works by changing the way your brain and nervous system respond to pain. Antidepressants, on the other hand, are medications used to treat depression and other mental health conditions. In some cases, doctors may prescribe both medications to treat pain and depression. However, it is important to know which antidepressants are safe to take with tramadol to avoid potential side effects and drug interactions. Understanding Tramadol Tramadol is a synthetic opioid that can be habit-forming if used for an extended period of time. It is typically prescribed for short-term pain relief, such as after surgery or due to an injury. Tramadol works by binding to the same receptors in the brain that opioids like morphine or codeine bind to. However, it is considered to be less potent than other opioids and has...
Posting Komentar
0 Komentar